Call us today:  01743 440209
Call us today:  01743 440209

Dental veneers in Shrewsbury

Achieve your dream smile with veneers in Shrewsbury

Longing for a smile that radiates confidence? Dental veneers offered right here in Shrewsbury could be the ideal solution you’ve been searching for. Our skilled dental professionals are dedicated to providing top-tier veneer treatments to help you achieve the smile you’ve always envisioned. Discover how this remarkable cosmetic dental option can transform your appearance and boost your self-confidence.


What are dental veneers?

Dental veneers are delicate, tailor-made coverings fashioned from durable, tooth-coloured materials, typically porcelain or composite resin. These custom shells are meticulously bonded to the front surfaces of your teeth to significantly enhance their aesthetic appeal. Veneers are a versatile solution for addressing various cosmetic concerns, including:

  • Persistent discolouration: Stains that resist conventional teeth whitening treatments.
  • Damaged teeth: Chipped, cracked, or fractured enamel.
  • Uneven spacing: Gaps or diastemas between teeth.
  • Size and shape irregularities: Teeth that appear too small or are misshapen.
  • Minor misalignment: Slightly crooked or unevenly positioned teeth.

Think of veneers as a stunning, instant makeover for your smile, creating a more uniform, brighter, and attractive appearance.


Why choose The Smile Centre for dental veneers?

  • Utilising advanced technology with digital x-rays and intra-oral cameras.
  • Equipped with state-of-the-art teeth whitening technology.
  • Our dedicated decontamination room adheres to best practice standards.
  • Enjoy comfortable treatment in our air-conditioned surgeries.
  • Comprehensive wheelchair accessibility, including a disabled WC.
  • Conveniently located with excellent public transport links.
  • Relax in our comfortable waiting areas with televisions and reading material.
  • Offering convenient payment plans, including 0% finance options.

The remarkable benefits of dental veneers

Opting for dental veneers in Shrewsbury provides a wealth of advantages, establishing them as a highly sought-after cosmetic dentistry procedure:

  • Enhanced aesthetics: Veneers can dramatically improve the colour, shape, size, and alignment of your teeth, leading to a truly transformative smile.
  • Natural look and feel: Expertly crafted to match the precise shade and contours of your natural teeth, ensuring a seamless and authentic smile.
  • Lasting durability: With proper care and maintenance, porcelain veneers can provide a long-term solution for your cosmetic dental concerns, often lasting for many years.
  • Stain resistance: Porcelain’s non-porous nature makes veneers significantly more resistant to staining from common culprits like coffee and tea.
  • Minimally invasive: Compared to some other cosmetic dental treatments, the placement of veneers typically requires only minimal alteration to your natural tooth structure.
  • Increased self-confidence: A beautiful, flawless smile can have a profound positive impact on your self-esteem and the way you interact with the world.


What to expect during your veneers treatment

Undergoing veneer treatment with us in Shrewsbury is a well-defined and comfortable process:

Consultation: Your journey begins with a thorough consultation. We’ll discuss your desired smile outcomes, evaluate your oral health, and determine if veneers are the most suitable option for you. We will address all your questions and develop a personalised treatment strategy.

Preparation: In most cases, a small amount of enamel is gently and precisely removed from the front surfaces of your teeth to create the necessary space for the veneers. This ensures a natural and seamless integration.

Impressions: We will take precise moulds (impressions) of your prepared teeth. These impressions are then sent to a specialist dental laboratory where skilled technicians will custom craft your veneers, meticulously matching them to your desired shade.

Temporary veneers: While your permanent veneers are being fabricated, you may receive temporary veneers to protect your prepared teeth and maintain the aesthetics of your smile.

Bonding: Once your custom veneers are ready, we will carefully and securely bond them to your teeth using a strong dental adhesive. We will ensure the perfect fit, shape, and colour before the final placement.

Final check-up: Following the bonding process, we will meticulously check your bite and make any necessary adjustments to ensure optimal comfort and your complete satisfaction.

Ready to embark on your journey to a more confident smile? Contact our Shrewsbury dental practice today to arrange your no-obligation consultation!


Understanding the cost of veneers

Recognising that every smile and every patient journey is unique, the cost of your dental veneers will depend on your specific needs and treatment plan. We are committed to keeping you fully informed throughout the planning process. Based on your clinical requirements and personal preferences, we will provide you with a transparent and fixed cost for your treatment.

We are pleased to offer a range of flexible payment options to help make your desired dental treatment more accessible. *

*Subject to status, and minimum spend requirements apply.


Take the first step towards your dream smile

Don’t delay achieving the smile you’ve always dreamed of! Contact our Shrewsbury clinic today to schedule your FREE dental veneers consultation or complete our online contact form. Let us help you unlock a more confident you with beautiful, natural-looking veneers!


Book your FREE consultation today!

Contact us


Before & after cases

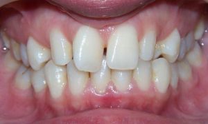
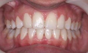
Case 1

This patient decided on porcelain veneers to close the gap between his upper central incisors.

Case 2

We treated this patient with a combination of braces and veneers to improve the alignment and shape of her teeth.


Frequently Asked Questions

Veneers are thin, custom-made shells, typically crafted from porcelain or composite resin, that are bonded to the front surfaces of your teeth to enhance their overall appearance.
Veneers are a versatile solution for correcting discolouration, chips, cracks, misalignment, unevenness, and irregularities in tooth shape, as well as closing gaps between teeth.
The process of placing dental veneers is generally well-tolerated and not considered painful. Local anaesthesia is usually administered during the tooth preparation phase to ensure your comfort. Some patients may experience mild sensitivity afterwards, but this typically resolves quickly.
With proper and diligent care, porcelain veneers can last anywhere from 10 to 15 years, and sometimes even longer. Composite veneers generally have a shorter lifespan, typically ranging from 5 to 7 years. Maintaining good oral hygiene through regular brushing, flossing, and professional dental check-ups is crucial for maximising the longevity of your veneers.
Yes, once your veneers are securely bonded, you can generally eat most foods without any issues. However, it's advisable to avoid biting directly on very hard foods or objects, as this could potentially cause damage to your veneers.
Caring for your dental veneers is very similar to caring for your natural teeth. This includes brushing twice daily with a non-abrasive toothpaste, flossing daily, and attending regular dental check-ups and cleanings. It's also wise to avoid using your teeth as tools and consider wearing a mouthguard if you have a habit of grinding your teeth.
The cost of dental veneers can vary depending on several key factors, including the type of material used (porcelain or composite), the number of veneers required, and the complexity of your individual case. The most reliable way to obtain an accurate cost estimate is to schedule a consultation with our experienced dental team in Shrewsbury. We can thoroughly assess your specific needs and provide you with a personalised treatment plan that includes a detailed breakdown of the associated costs.

Patient Testimonials

Always excellent service and the staff are nice and friendly.

My last visit was to see the hygienist and she was lovely.

 

What can I say, going here makes a trip to the dentist a rather pleasant experience!